Unitat de Peu y Turmell

Especialistes en l’estudi, el diagnòstic i l’aplicació de tècniques quirúrgiques per a la cirurgia del peu.

Fractures de peu i turmell

Quan parlem de fractures del peu i turmell ens referim a qualsevol tipus de trencament localitzat als ossos que formen aquestes articulacions. En el cas del turmell, ens referim a les fractures de la tibia i el peroné, i en el cas del peu a les fractures dels ossos del turmell (astràgal, calcani, escafoides, cuboides o cunyetes), dels metatarsians i de les falanges.

El peu és l’element fonamental en la locomoció i suporta una càrrega biomecànica de fins a set vegades la càrrega corporal. D’això podem deduir que aquest tipus de fractures seran molt freqüents i, per tant, de gran importància realitzar un diagnòstic precoç, així com un tractament adequat.

(* A la imatge podem observar radiografies d’una fractura de turmell).

Quines causes poden produir fractures al peu i al turmell?

Les fractures es produeixen a causa de traumatismes als ossos, sent les més freqüents:

  • Ensopegades o caigudes.
  • Impactes d’objectes pesants, situació molt freqüent en l’àmbit laboral i domèstic.
  • Accidents de circulació.
  • Accidents esportius.
 

Existeixen alguns factors que augmenten el risc de patir aquest tipus de lesions:

  • Patir patologies que impliquin una disminució de la densitat òssia (osteoporosi), la qual afavorirà la fragilitat dels ossos davant les caigudes.
  • L’edat avançada o patir patologies que dificultin la marxa o empobreixin l’equilibri, com poden ser determinades patologies neurològiques o reumàtiques.
  • Poca il·luminació a la llar.
  • Conducció inapropiada de vehicles.
  • Treballar en ambients laborals que impliquin risc de caure des d’una altura o que pugui impactar algun objecte pesant.
  • Practicar esports d’alt impacte.
  • Fer esport amb equips o tècniques inadequades.
 

Quins símptomes poden produir?

Els símptomes més comuns solen ser:

Dolor, inflamació i sensibilitat immediata a la zona de la fractura Deformitat de la zona afectada Hematoma Dificultat o impossibilitat de caminar o aixecar-se.

Com es diagnostica?


El primer pas és realitzar una història clínica correcta del pacient per conèixer les malalties que pateix i la forma en què es va produir la lesió.

A continuació, realitzarem un examen físic exhaustiu. Durant l’examen és freqüent que el pacient mostri una hipersensibilitat i dolor quan palpem la zona afectada.

Seguidament, realitzarem una radiografia del peu o del turmell per confirmar la sospita de fractura i concretar quins ossos s’han afectat. En els casos en què la radiografia no ens aporti tota la informació necessària per prendre una decisió terapèutica correcta, realitzarem una tomografia axial computaritzada (TAC, també anomenat scanner).

Quin tractament s’aconsella?

 

El tractament dependrà de l’os fracturat i de la gravetat de la lesió.

 

Existeixen tres tipus de tractament:

La immobilització sense reducció és el tractament de les fractures més lleus, entenent per aquelles en què els fragments de l’os no han patit cap desplaçament en fracturar-se.

En aquests casos, procedim a immobilitzar l’os perquè els extrems puguin soldar-se correctament. S’acostuma a utilitzar el guix, tot i que, segons l’os que s’hagi fracturat, es poden utilitzar dispositius d’immobilització com la bota ortopèdica, el calçat de sola rígida, o com en el cas de les falanges, l’imbricat mitjançant cinta i gassa.

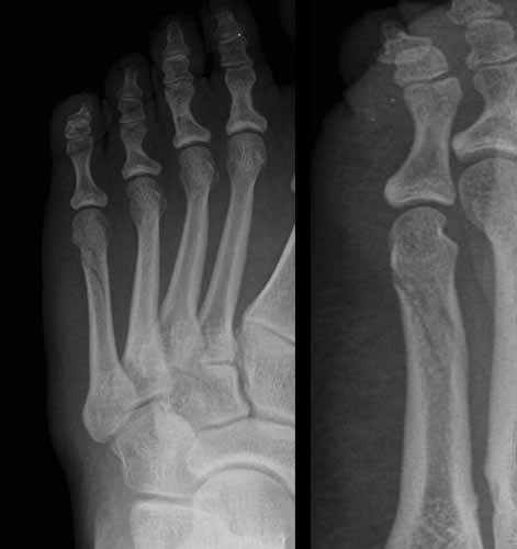
A la imatge: Imatges radiològiques d’una fractura no desplaçada del cinquè metatarsià. En aquest tipus de fractures n’hi haurà prou amb la immobilització amb un guix o una bota ortopèdica per a la seva curació.

Anomenem reducció al procés de manipulació per part del metge especialista dels fragments de l’os fracturat perquè tornin a la seva posició.

Es recorre a aquesta tècnica quan es tracta de fractures desplaçades, és a dir, que els fragments de l’os no estan alineats.

Segons la gravetat, es pot recórrer a anestèsia o sedants musculars abans de realitzar aquest procediment. Un cop els fragments de l’os estan en la seva correcta posició, s’aplica un guix que mantingui la reducció fins a la consolidació (o curació) de la fractura.

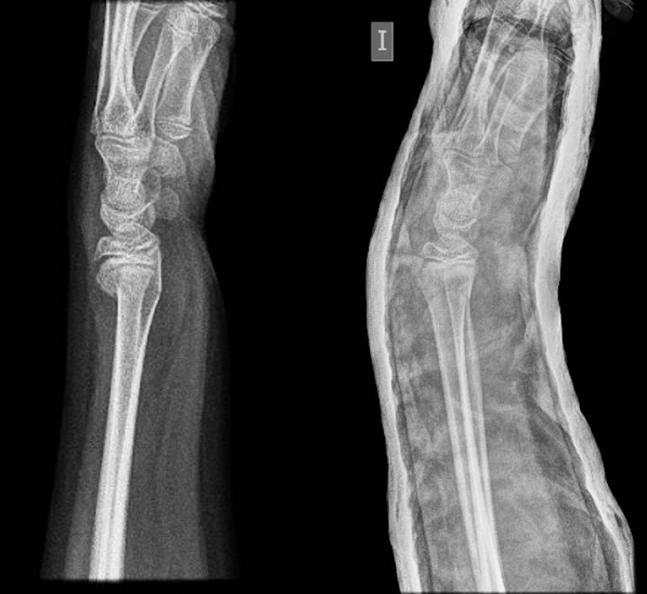
Fractura de radi en un pacient pediàtric. La fractura presentava un desplaçament que va requerir reducció i col·locació de guix per mantenir la reducció fins a la curació.

En els casos en què la reducció de la fractura sigui complicada de realitzar mitjançant l’ús de guix, l’especialista recomanarà reduir i mantenir la reducció dels fragments òssis mitjançant implants metàl·lics com són les plaques, els perns, els cargols o els claus.

Un cop soldada la fractura, si els implants causen molèsties o irritació cutània, poden ser extrets.

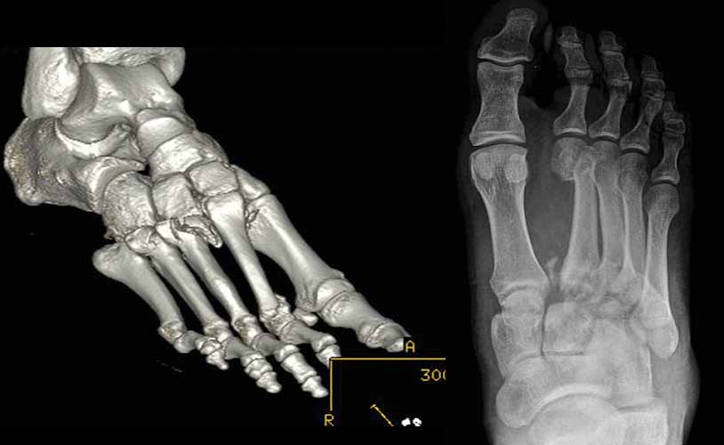
Imatge de radiografia convencional (dreta) i TAC (esquerra) d’unes fractures que afecten l’anomenada articulació de Lisfranc, que comprèn les articulacions del mitjà peu entre les cuixes i els metatarsians. Es tracta de fractures desplaçades que requeriran cirurgia.

Radiografies postoperatòries de l’anterior pacient. Mitjançant cirurgia oberta es va realitzar la reducció de les fractures i es van implantar uns cargols per mantenir la reducció fins a la curació.